所屬科目:心臟科
2. 其心電圖呈現如圖,嚴謹的診斷包括:1. 心房纖維顫動2. 心房撲動(flutter)3. 左心房擴大4. 左心室擴大5. 毛地黃效果 (A) 1, 3, 5 (B) 2, 4 (C) 1, 2 (D) 1, 3 (E) 1, 5
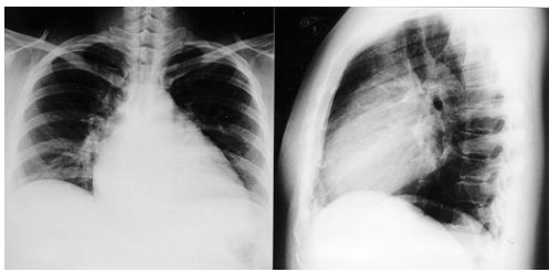
3. 其胸部X光如附圖1. 右心房擴大2. 右心室擴大3. 左心房擴大4. 左心室擴大5. 縱膈腔腫瘤 (A) 1, 3 (B) 1, 3, 5 (C) 2, 4 (D) 2, 3 (E) 2, 4, 5
8. 94歲男性病人於九月六日清晨腹疼,經尋醫治療短暫有效,但當天4:00 pm在家觀賞電視突然喪失意識,隨後又有呼吸困難,緊急送醫於4:50 pm抵院,當時病人未有脈動,心電圖如圖所示,何種處置是正確的第一步: (A) 靜脈注射lidocaine,先一次注射劑量(bolus)50 mg,隨即以2-4 mg/min靜注 (B) 靜脈注射atropine 1 mg,隨後以0.03 mg/kg 每3-5分注射一次 (C) Epinephrine 1 mg IV,依據血行力學反應再以2-10 ug/min靜注 (D) 使用200 Joules之不同步電激(unsynchronized countershock) (E) 靜脈注射500~1000 mg procainamide以每分20-30 mg速度注射
9. 經十二分鐘急救後,病人已在ROSC(return of spontaneous circulation),此時血壓200/100 mmHg,兩邊瞳孔大小由6mm縮小到2.5mm,此時心電圖呈現1. 心室性快跳(ventricular tachycardia)2. 右束枝傳導阻滯3. 前壁心肌梗塞4. 下壁心肌梗塞5. 下壁心肌缺氧 (A) 1, 2, 3 (B) 2, 3, 4 (C) 1, 3 (D) 2, 4 (E) 2, 4, 5