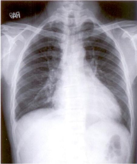
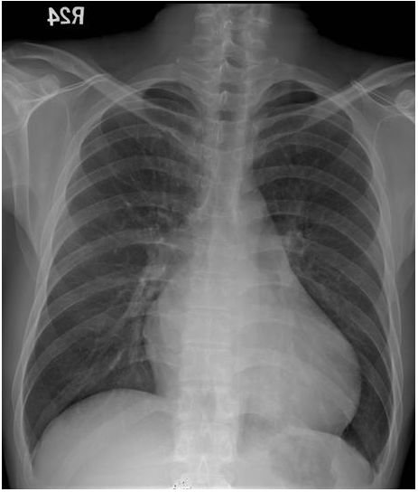
15. 病人是43歲生意人,經常出國經商,於五月十六日因有進展性呼吸困難乃至急診求醫,病人於五月三日旅行日本時突有忽冷忽熱,伴有乾咳呼吸困難及胸悶,且當時自量血壓只有90/60 mmHg¬,其後症狀稍解,乃回國休養,但在五月十四日運勳性呼吸困難逐漸轉劇.理學:血壓95/75 mmHg;心跳78/分,規則律跳;頸靜脈正常,但心臟顯著擴大,S1及S2都轉弱;都無心雜音,其他理學所見尚稱正常¬.病人有高血壓及高脂血及每天抽煙1.5包有三十年之久,且在1.5年前曾有短陣性腦缺血發作.,生化檢查:只有GOT 50u/L;GPT 25u/L;Troponin I(ng/ml), CK,(U/L)CK-MB(U/L):五月十六日 - 5.65,246,17.1;五月十七日- 3.74,190,10.1;胸部X光及心電圖 如示,請問下列何者是最有可能的診斷?

(A) 非ST上昇急性心肌梗塞症 (B) 心絞痛 (C) 心肌炎合併心肌病變 (D) 高血壓性心臟病 (E) 肺動脈血栓症