所屬科目:進階專科護理-一般內科
17.74 歲退伍軍人,於接受胃鏡檢查後,出現胸悶無力虛弱的現象。心電圖檢查如圖(一),血壓 95/55 mmHg,此時最適宜的藥物治療為何?圖(一)(A) 口服舌下含片 Nitrate (B) 靜脈注射 Digoxin(C) 靜脈注射 Amiodarone (D) 靜脈注射 Verapamil
21.55 歲男性,因新流感併發肺炎及急性呼吸窘迫,插上氣管內管使用呼吸器並服用克流感 ( oseltamivir ) 治療。呼吸器設定為 FiO2 = 60 %,PCV pressure level = 18 cmH2O,PEEP = 12 cmH2O。今日突然變得很激動,全身冒汗,呼吸每分鐘 40 次,心跳每分鐘 130 次,血壓 110/80 mmHg,胸部 X 光如圖(二)。此時最適切的處置為何?(A) 調整呼吸器設定,並立即插上胸管(B) 給予靜脈輸注鎮靜劑,並給予肢體約束(C) 使用利尿劑,並立即安排心電圖及心臟超音波檢查(D) 根據經驗法則更改抗生素,並收集痰液進行細菌培養
22. 甲、乙兩個病人皆因呼吸喘促就醫並立即住院診療,於門診處所照的胸部 X 光片,甲病人為 圖(三),乙病人為圖(四)。下列何項處置最為適切?(A) 只為甲病人插胸管引流(B) 只為乙病人插胸管引流(C) 為甲、乙兩位病人都插胸管引流(D) 甲、乙兩位病人皆不必插胸管引流
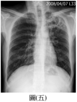
29.50 歲男性,主訴咳嗽有痰,於門診所照的胸部 X 光如圖(五),最可能診斷為何? (A) 肺炎(B) 肺癌(C) 肺結核(D) 塵肺症
39.86 歲女性,近日來較為嗜睡,今早叫不醒,被送至急診室。經詢問約 3 週前曾經跌倒,頭部 雖有撞到傢俱,但無明顯外傷,故不以為意。腦部電腦斷層檢查結果如圖(六),最可能的診斷為何?(A) 硬腦膜上血腫(B) 硬腦膜下血腫(C) 蜘蛛網膜下腔出血(D) 腦內出血