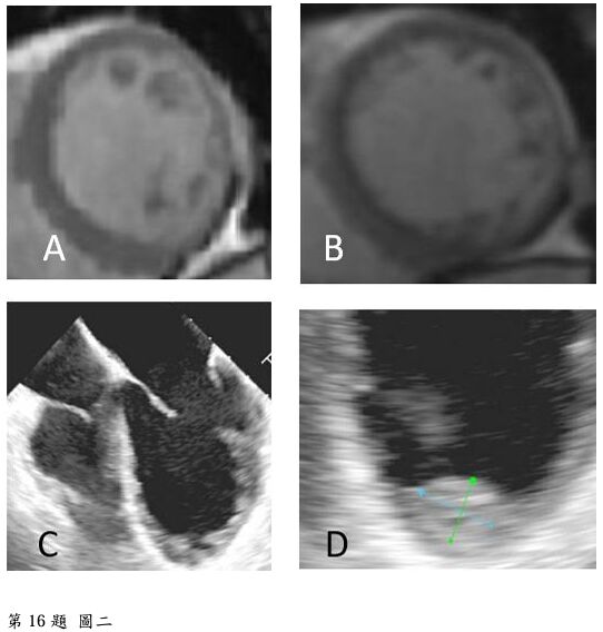
16. 一位55歲女性病患因端坐呼吸與動喘一週而來住院。身體診察發現血壓90/56毫米汞柱,心跳每分 鐘102下,頸靜脈怒張,心音低遠併第三心音,肺部有囉音,雙下肢小腿與腳部水腫。心電圖如圖一。心臟超音波呈現左心室擴大,瀰漫性左心室收縮功能異常,左心室射出分率(left ventricle ejection fraction)為25%。心臟磁振造影檢查如圖二A與B。經食道心臟超音波如圖二C與D。請問下列敘述何者錯誤?


(1)該病患的心電圖呈現 low voltage in frontal leads (2)該病患心電圖呈現心房顫動 (3)該病患之心臟磁 振造影影像檢查呈現左心室心肌緻密化不全(left ventricular non-compaction) (4)該病患之心臟磁振造影影 像檢查呈現急性心肌發炎 (5)該病患應使用口服抗凝血劑 (6)這種疾病有時是因肌節(sarcomere)基因異常 引起 (A) (1)+(3)+(6)。 (B) (2)+(3)+(5)。 (C) (2)+(4)。 (D) (2)+(4)+(5)。
(E) (2)+(6)。