所屬科目:心臟科
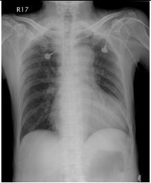
1. 病人62歲,男性,在6月8日清晨6時突然有嚴厲胸疼發生,以致醒來起床,隨即發生冒汗、噁 心、嘔吐及腹痛,乃急往醫院求治。病人有高血壓及貧血病史。理學檢查顯示急病面容,血壓250/100 mmHg,心跳67/min,心肺並無任何異常,但腹部腸蠕動聲減少,而且有腹肌難碰之狀,右腳踝dorsalis pedis脈動消失。胸部X光及心電圖如示。其他影像如圖 。血液檢查,AST 29 U/L;CK 102.0 U/L;CK-MB 22.4 U/L;Troponin I <0.04 μg/L;Amylase 80 U/L;Lipase 32 U/L;Na 3.3 mEq/L;K 3.3 mEq/L;D-dimer 12-24 μg/ml ;BUN 53.6 mg/dl;Creatinine 2.6mg/dl。病人服用Clondine (0.075 mg) 6#bid; Doxazosin (1 mg) 2#hs;Amlodipine (5 mg) 1#bid;Trichlorthiazide (2 mg) 1#qd;Minoxidil (10 mg)2#bid;Valsartan 1#qd; Metoprolol (100 mg) 1/2#qd。請問本病人最可能的診斷是: (A) 急性心肌梗塞 (B) 肺動脈栓塞合併肺動脈高血壓 (C) 急性心衰竭症 (D) 主動脈剝離 (E) 惡性高血壓
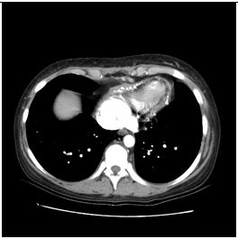
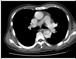
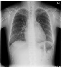
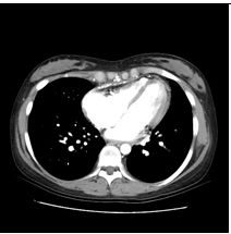
5. 29歲女性,主訴近年來有進展性雙腳水腫,全身倦怠,同時伴有運動性呼吸困難及腹部腫脹。病人在十多年前有紅斑性狼瘡,也因此四處求醫,誤信草藥,終致腎病末期之尿毒,施行血液透析治療。於今年4月24日赴中國接受腎臟移植,不意術後有諸多併發症,如尿路感染等,回國一直在門診治療。近多月來,上述症狀逐漸加劇,乃住院診療。理學檢查:血壓96/55 mmHg;心跳75/min規則;呼吸 18/min,尚屬平穩,病人呈現慢病狀,臉色蒼白,頸靜脈怒張,有Kussmaul's sign,胸部未有濕濁聲,心臟之point of maximal impulse (PMI)不清,S1及S2尚屬正常,未有心雜音,腹部未有肝脾可觸知,雙下肢有水腫。實驗室有WBC,5520;RBC,3,010,000;Hb,10.1 g/dl,BUN,40 mg/dl;Creatinine,1.79mg/dl,餘皆正常。其他胸部X光、心電圖及心臟電腦斷層 如圖示。請問本病人最可能的診斷是: (A) 左心臟衰竭 (B) 右心臟衰竭 (C) 冠心症 (D) 心肌病變 (E) 窄縮性心包膜炎 (constrictive pericarditis)
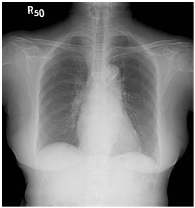
10. 病人詹吳XX,86歲女性,今年年初起時有運動性心絞疼,其症狀服用舌下亞硝酸甘油片可緩解,唯每天需用2至4粒,日趨頻繁。而且近月來情況惡化,幾乎不敢稍事運動,終日家居,無法出門活動。病人有高血壓、糖尿病及高脂血十多年病史,均接受藥物治療中,病人服用ASA,50 mg/day;Clopidogrel,75 mg qd;Valsartan,80 mg qd;Carvedilol,6.25 mg qd;Amlodipine,5 mg qd;Atorvastatin,10 mg hs;Pioglitazone,30 mg qd;Gliclazide,30 mg bid/ac;Metformin,500 mgbid/pc等治療。理學檢查:血壓,114/49 mmHg;心跳,68/min;身高,151.6 cm;體重,48 kg;心臟大小正常並無其他異常心音,其他各器官系統尚無異常所見。其血清CK,48 U/L(normal,50 -294U/L);Troponin I.<0.4 μg/L;血糖,132 mg/dl;膽固醇,168 mg/dl;LDL-c 84 mg/dl;HDL-c,36mg/dl。其胸部X光及心電圖如圖 。依據ACC/AHA2007指引,本病人應以何項處置為最恰當: (A) 年事高並無心肌傷變,以保守治療為宜 (B) 應積極從事經皮冠脈阻介或外科治療才合乎指引 (C) 可以點滴靜脈注射Nitroglycerin (D) 加強糖尿病及高脂血藥物治療 (E) 可回家休養
12. 一位48歲女性因心悸,呼吸困難至急診室求診,心電圖如下,以下敘述何者最適當: (A) 心電圖顯示嚴重的心室頻脈(Ventricular tachycardia),應立即給予靜脈注射lidocaine。 (B) 若此時生命徵候尚稱穩定,可以考慮先以靜脈注射verapamil治療。 (C) 若此時患者生命徵候不穩定,可以不同步整流去顫電擊來治療 (D) 大部分有此種心律不整的患者,多具有潛在性的心臟結構性疾病。 (E) 這個病人應存在有右側後中膈(posteroseptal)方向的房室accessory pathway。
13. 一位55歲男性,以往僅知有高血壓病史,在健檢時心電圖表現如下,以下敘述何者最不適當: (A) 應考慮幫病人檢查甲狀腺功能。 (B) 在考慮替病人實行電氣去顫術(electrical cardioversion)前,須先給予抗凝血劑3週,去顫成功成為竇性心律(sinus rhythm)後,就可以停藥。 (C) 若病人沒有冠心症等潛在的結構性心臟病,可以考慮給予口服的propafenone作pharmacological cardioversion。 (D) 用於治療的藥物之一,amiodarone,可能在1周內就出現肺部毒性。 (E) 根據AFFIRM研究結果,長期而言rhythm control (控律)的結果並未優於rate control (控速)。