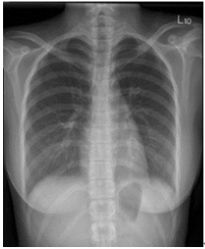
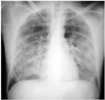
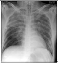
3. 病人18歲女計程車無線呼叫員, 到院主訴有五天的間 歇性燒熱及寒顫(chillness), 並合併頭痛、雙眼後疼痛及全身肌疼, 經初步診斷腦膜炎, 病人拒絕腰椎穿刺檢查, 乃試用抗生素後回家療養。 唯症狀仍舊, 尚有噁心、嘔吐, 並先後在左大拇指及右小趾出現疼痛紅斑(如圖A及B所示)。既往病史有二尖瓣膜脫垂及閉鎖不全。理學所見身高:162cm;體重:45Kg;BP:105/67mmgHg;T/P/R: 39.8C/155/18。未見Meningeal signs. 頸部末見異常, 心尖在left 5th ICS, mid-clavicular line, 有Grade III/VI Pansystolic murmur. S1及S2正常。胸、腹都無不正常。實驗室檢查: WBC:4.39x k/uL,有left shifting;RBC:5.12 x M/uL;Hb:11.0 g/dL;Platelets:130 x K/uL;其血液細菌培養結果如與胸部X光詳見附圖C、D。心電圖如附。本病人經過下列臨床處置
1. 確定診斷心內膜炎 2. 注射oxacillin 2gm Q4H 3. 注射 Penicillin 及 Gentamicin 4. 緊急心導管診斷 5. 緊急脊椎穿刺檢查 6. 心外科手術及二尖瓣膜置換 請問下列何者處置是正確的:



(A) 1+2 (B) 1+3 (C) 1+4 (D) 1+5 (E) 1+6