所屬科目:急診專科醫生
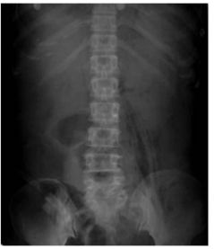
181. 56 歲糖尿病病人,一週前出現下背痛及發燒的症狀,他院診斷為敗血症合 併酮酸中毒,因意識改變而轉至本院急診。檢查和檢驗結果發現,白血球 及發炎指數升高,腹部 X 光如圖所示,關於此疾病之敘述,下列何者較不適當? (A)若病人無明顯感染源而產生上述的疾病,稱為原發性病變,多由肺 炎鏈球菌(Streptococcus pneumoniae)引發。 (B)若病人是經由鄰近器官感染後,直接侵犯而引起的,稱為次發性病 變,則是以腸道桿菌為主。 (C)臨床治療,以抗生素及引流為主。 (D)綜合此病人的病史、臨床表現和檢查結果,此病人之細菌培養結 果,最可能為肺炎克雷白氏桿菌(Klebsiella pneumoniae) 。
189. 2 歲男童發燒 3 天,食慾及精神不佳,病人口腔和四肢出現如下圖症狀。檢 傷生命徵象如下:E4V5M6、體溫 37.5 °C、呼吸 22 次/min、心跳 130 次/min、 血壓 100/60 mmHg、SaO2 98%。下列何者急診初步處置較不適當? (A)給予口服 Ibuprofen。 (B)給予 glucose 點滴。 (C)給予心電圖及心肌酵素檢查。 (D)給予 IV acyclovir。
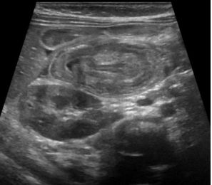
198. 1 歲男童,因腹痛及嘔吐被帶來兒童急診就診,身體診察腹部柔軟,床邊 超音波影像如下,下列敘述何者較適當? (A)診斷為幽門阻塞,應會診消化外科,進行幽門切開術。 (B)診斷為急性闌尾炎,需會診消化外科手術。 (C)診斷為腸套疊,可先使用生理食鹽水或空氣顯影灌腸。 (D)診斷為先天性腸扭轉,需剖腹探查。