所屬科目:急診專科醫生
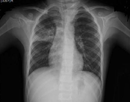
59. 5 歲男童,按期接受疫苗注射,無遺傳疾病。父母帶至急診,主訴一周前 開始咳嗽,且逐漸嚴重伴隨發燒有痰。今日發現病人很虚弱,並抱怨頭痛 和右胸疼痛,且發現孩童胸背有淡紅皮疹,但無腹痛腹瀉的徵狀。胸部 X 光如圖示,在肺右上葉次節肺有斑狀間質侵潤(patchy segmental interstitial infiltrates),近兩側肺門氣管處呈現有間質侵潤斑點(patchy infiltates)。試問感染此肺炎的致病原(pathogen)最可能是?(A)結核桿菌(Mycobacterium tuberculosis)。 (B)黴漿菌(Mycoplasma)。 (C)肺炎球菌(Streptococcus pneumoniae)。 (D)克雷伯氏肺炎菌(Klebsiella pneumoniae)。 (E)流感病毒(Influenza virus)。
85. 1 歲 8 個月男童,被父親帶至急診,主訴這兩天食慾不佳,活動力變差, 排便量少,呼吸淺快有陣發性哭鬧及嘔吐症狀,哭鬧時難以安撫,約一周前有發燒及輕微咳嗽症狀,早上四肢皮膚出現斑紋,如下圖示,下列何者處置較適當? (A)安排頭部電腦斷層檢查,給予適當鎮靜,並通報兒虐。 (B)給予注射止吐藥 Metoclopramide 後觀察。 (C)推進急救室,儘速架設監測儀器並量測血糖,給予靜脈輸液。 (D)帶病人至超音波室掃描,排除腸套疊(Intussusception)。 (E)照射腹部 X 光,排除腸道破裂後,給予灌腸排出宿便。
99. 急診遇到胸部創傷呼吸喘病人,運用超音波肺部掃描可協助鑑別診斷,下 列敘述何者較適當? (A)左側為條碼標誌(barcode sign),顯示無氣胸。 (B)右側為海濱標誌(seashore sign),顯示為血胸。 (C)左側為平流層標誌(stratosphere sign),顯示為氣胸。 (D)右側為海濱標誌(seashore sign),顯示為氣胸。 (E)左側為條碼標誌(barcode sign),顯示為血胸。