所屬科目:急診專科醫生
61. 45 歲男性,主訴半小時前突發性胸痛、噁心、冒冷汗。生命徵象如下:血 壓 80/54 mm/Hg、心跳 40 次/min、呼吸 25 次/min,血氧飽和度 93%。心 電圖如下圖。請問關於這位病人,下列何者錯誤? (A)不可使用 Nitroglycerin。 (B)需使用經皮體外心律調節器(transcutaneous pacemaker)。 (C)需做右側心電圖排除右心室梗塞(right ventricular infarction)。 (D)若合併右心室梗塞時,可由中央靜脈導管數值評估輸液量是否足 夠。 (E)此病人不適合血栓溶解劑治療(thrombolytic therapy),建議做經皮 冠狀動脈介入性治療(percutaneous coronary intervention)。
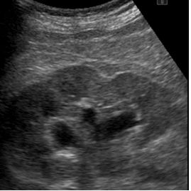
70. 35 歲男性病患因嚴重左下腹痛到急診就診,左腎超音波影像如下圖。請問何者錯誤? (A)病人有水腎(hydronephrosis)。 (B)尿液檢查可能呈現 RBC 50-100/HPF。 (C)病人乙狀結腸發炎。 (D)病人可能有輸尿管結石。 (E)飽漲的膀胱可能會造成雙側水腎。