所屬科目:急診專科醫生
33. 35 歲女性病人,無過去病史。自述發燒 4 天,今天臉上開始有紅疹,有發 高燒、鼻炎、結膜炎、咳嗽的症狀,2 週前曾去香港出差。身體檢查發現 病人口腔黏膜有白色斑點,頭頸部有皮膚有如下圖紅疹,身上及手腳無紅 疹。下列敘述何者較不適當?(A)急診看診時應戴 N95 口罩,病人應負壓隔離。 (B)其潛伏期約 21~28 天左右。 (C)其併發症包含巨細胞肺炎及亞急性硬化性全腦炎(SSPE)。 (D)預防治療可給予 intramuscular immunoglobulin(IMIG)。 (E)此病屬於「傳染病防治法」規定之第二類傳染病,應於 24 小時內 完成通報。
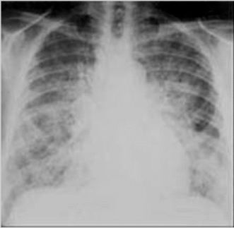
36. 40 歲女性病人,有貧血病史,二年前因生產後大出血,在大量輸血時發生 呼吸衰竭住院治療過。病人今日因嚴重貧血經門診轉入急診輸血,呼吸 12 次/min,SpO2 98%,心跳 102 次/min,血壓 102/60 mmHg,聽診心音和呼 吸音正常。在急診以 60 ml/h 流速靜脈輸入濃縮紅血球(packed RBC)。半小時後,病人開始抱怨呼吸困難。胸部 X 光檢查如圖示,下列的評估或處 置,何者較適當? (A)立即調整輸血速率,降低至原來流速的一半。 (B)此病人為心因性肺水腫,多於輸血四小時內發生,需在急診留 觀 。 (C)此病人的病況癒後差,死亡率高,應立即插管住院。 (D)此病人不適合使用大量利尿劑,如 Lasix。 (E)此病人不適合使用吸入性的氣管擴張劑和腎上腺素治療。