所屬科目:急診專科醫生
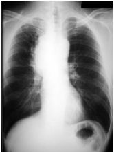
55 60 歲男性因近日來呼吸急促、頭痛及數度暈厥被送來急診。理學檢查發現 頸靜脈擴張,眼眶周圍、臉部及上肢皆有水腫現象。胸部 X-光片檢查如圖。 請問最可能的診斷是:
(A)肺動脈栓塞(Pulmonary embolism) (B)升主動脈剝離(Ascending aortic dissection) (C)心包膜填塞(cardiac tamponade) (D)腎病症候群(Nephrotic syndrome) (E)上腔靜脈症候群(SVC syndrome)
65 一位 57 歲男性病患因一小時前突發性意識障礙(syncope),由 119 送至急 診就醫。到院時,意識已恢復正常。當急診醫師問診時,ECG 監視器顯示 突然由原來正常心律轉為 wide QRS complex tachycardia(如圖) ;同時,該 病患又再發生意識障礙,且血壓 130/80 mmHg,脈搏 178/min,呼吸 22/min, SpO2 93%。以下敘述,何者最正確?
(A)因血壓正常,該病患之意識障礙,應非心搏過速引起。 (B)應視為不穩定性心室心搏過速,予以同步電擊。 (C)因血壓正常,amiodarone 為藥物治療優先選擇。 (D)應先考慮做腦部電腦斷層,再決定治療方式。 (E)應待照會神經科及心臟科醫師後,共同決定治療方式。